Keeping it SMART and simple

SMART (Silver Modified ART) is rapidly becoming the global standard of care for caries management. This tooth saving approach virtually eliminates the need for local anaesthetic and tooth preparation by remineralizing carious dentine to form a decay resistant base beneath a restoration.

As well as SMART, this program is focused on providing dentists with straight forward, innovative restorative solutions to the challenges of general practice.

This is an opportunity to expand your clinical skills, efficiency and personal satisfaction as you integrate these concepts into your practice.

 

Learn more about the Challenges of Contemporary Dentistry including:

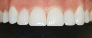
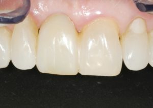
Amazing Direct Laminate Veneers.

New Technique: Six easy stages from shade selection to finishing that assures optimum polychromatic aesthetics and predictability.

 

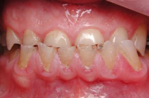
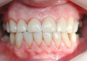
Rebuilding a worn dentition

Following a modified Dahl method that gives patients the confidence of a beautiful new smile


 

Direct Fibre Reinforced Resin Bridge
New Technique: high speed minimum intervention procedure that provides patients with a predictable practice building alternative to an implant.

Direct Fibre reinforced Bridge after 16 year


 

 

 

Don’t miss out on this practical and realistic presentation by Leading International Speaker Dr Geoff Knight.

Seminar DatesĀ  TBA